एडेनोमायोसिस के बारे में जानने योग्य सारी बातें
नई दिल्ली, भारत
एडेनोमायोसिस एक ऐसी ginecology समस्या है, जो पुरानी पीड़ा और अन्य महिला स्वास्थ्य समस्याओं का कारण बन सकती है। हालांकि यह समस्या अपेक्षाकृत सामान्य है, फिर भी इसका सही समय पर निदान होना अक्सर मुश्किल रहता है। अनेक महिलाओं को वर्षों तक इसके लक्षणों का सामना करना पड़ता है, लेकिन सही पहचान और उपचार तभी संभव हो पाता है जब उन्हें पूरी तरह से इसका पता चलता है।
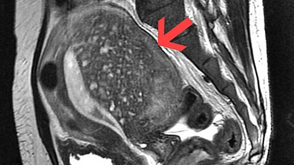
एडेनोमायोसिस तब होता है जब गर्भाशय की अंदरूनी परत को गर्भाशय की मांसपेशीय परत में वृद्धि हो जाती है। इसका मुख्य लक्षण अत्यधिक मासिक धर्म में दर्द, भारी रक्तस्राव, और मासिक चक्र में असामान्यताएँ हैं। इसके अलावा, महिलाओं को पीठ या रोगास्थि में भी दर्द का अनुभव हो सकता है जिससे दिनचर्या प्रभावित होती है।
विशेषज्ञों का कहना है कि एडेनोमायोसिस का सही और त्वरित निदान इसके प्रबंधन के लिए आवश्यक है। हालांकि पारंपरिक चिकित्सीय परीक्षणों के जरिए इसका पता लगाने में कठिनाई होती है, परन्तु हाल के सुधारों में अल्ट्रासाउंड और एमआरआई जैसी तकनीकों के इस्तेमाल से निदान की प्रक्रिया बेहतर हुई है।
महिलाओं को चाहिए कि वे मासिक धर्म में होने वाले असामान्य लक्षणों को नजरअंदाज न करें और चिकित्सा सलाह लें। महिलाओं के स्वास्थ्य जागरूकता अभियानों और चिकित्सकीय जांचों की बढ़ती संख्या से उम्मीद है कि एडेनोमायोसिस जैसी बीमारियों का समय पर पता चल सकेगा।
समय से उपचार न मिलने के कारण एडेनोमायोसिस महिलाओं के जीवन की गुणवत्ता को प्रभावित कर सकता है। इसलिए विशेषज्ञ सलाह देते हैं कि नियमित स्वास्थ्य जांच करानी चाहिए और मासिक चक्र के दौरान किसी भी असामान्य बदलाव को गंभीरता से लेना चाहिए। साथ ही, सही पोषण, समय पर आराम और तनाव प्रबंधन भी इस स्थिति के नियंत्रण में सहायक हो सकते हैं।
देश भर में महिलाओं की बेहतर स्वास्थ्य सेवा के लिए चिकित्सक और स्वास्थ्य कर्मी लगातार प्रयासरत हैं। जागरूकता फैलाने और बेहतर निदान के जरिये एडेनोमायोसिस जैसी समस्याओं से महिलाओं को जल्दी राहत प्रदान की जा सके।
